Dr. Marcos Eismann
Neurocirurgião e especialista em dor (CRM PA 11655 / RQE's 7528 8542)
Site com objetivo de expor conteúdo educativo direcionado para pacientes e entusiastas da Neurocirurgia e da Dor.

O que o neurocirurgião trata?

Tumores cerebrais
Existem diversos tipos de tumores no cérebro. Alguns tem suas origens neste órgão e outros podem ter origem inicialmente em um órgão diferente.

Aneurismas cerebrais
Os aneurismas cerebrais são dilatações patológicas que na maioria das vezes causam fragilidade nos vasos podendo causar sangramentos cerebrais graves.

Traumatismos cranianos
Os traumatismos cranianos têm as mais diversas causas, entre eles estão acidentes automobilísticos e quedas.

Hematomas cerebrais
Os hematomas cerebrais são de diferentes tipos, os mais comuns são os extradurais ou epidurais, os subdurais crônicos e os subdurais agudos.

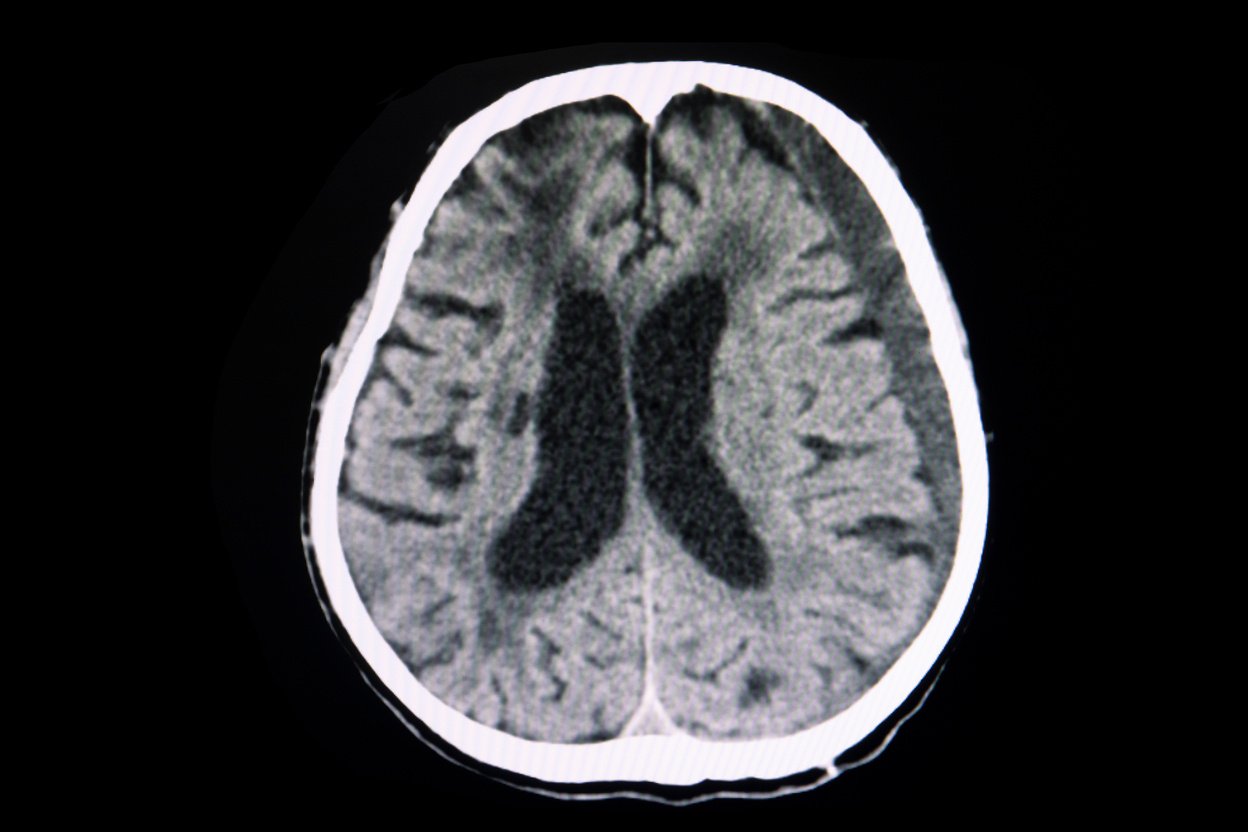
Hidrocefalia
A hidrocefalia é o acumulo de líquido no sistema nervoso. Ela pode acontecer pelo aumento de produção ou pela diminuição da absorção.

Parkinson, Distonia e Epilepsia
A neurocirurgia, também, trata doenças como Parkinson e Epilepsia em casos que tenham indicação de intervenções neurocirúrgicas como implantes de eletrodos ou cirurgias ablativas.
Patologias da coluna vertebral

Tumores
Existem diversos tipos de tumores na coluna vertebral. Alguns necessitam de intervenções neurocirurgicas. Há tumores medulares que quando indicado são removidos com auxílio de microcópio.

Traumatismos raquimedulares
Infelizmente, ainda é muito incidente estes tipos de traumas. Muitos necessitam de cirurgia.

Hérnias de disco e doença osteodegenerativa
Os tratamentos para hérnia de disco nem sempre são cirúrgicos, devem ser individualizado de acordo com a patologia e o paciente.
DOR

Dores crônicas.
A dor crônica pode ter diversas causas. Ela costuma ser limitante e necessita de tratamento multidisciplinar.

Implantes de eletrodos de estimulação medular.
Alguns casos de dor só conseguem ser efetivamente tratados com procedimentos cirúrgicos e entre esses procedimentos, o implante de eletrodos é uma excelente ferramenta.

Bomba de morfina.
Outra ferramenta que temos disponíveis para pacientes com quadros refratários de dor são os implantes de bomba de morfina.
(91) 98176-7574
@drmarcoseismann